78 yaşındaki felçli hastanın nefes borusuna kaçan mısır tanesi 5 ay sonra ortaya çıktı.
Hastanın akciğer enfeksiyonu tekrarladı
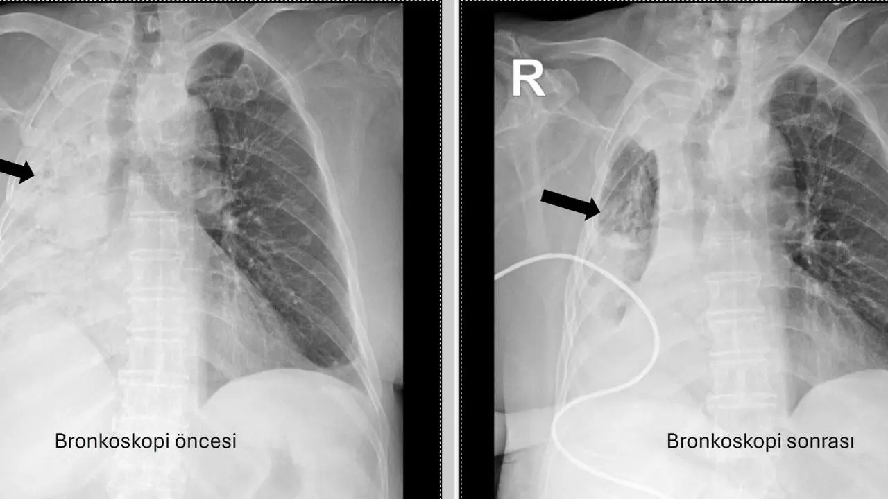
Denizli’de yaşayan 78 yaşındaki kadın, sık sık akciğer enfeksiyonu nedeniyle hastaneye başvurdu. Yapılan incelemelerde sağ akciğerinin tamamen kapalı olduğu anlaşıldı.

Bronkoskopi ile mısır tanesi bulundu
Pamukkale Üniversitesi Hastanesi’nde yapılan bronkoskopi sırasında hava yolunda sarı bir nesne tespit edildi. Bu nesnenin mısır tanesi olduğu belirlendi ve çıkarıldı.

Mısır tanesi 5 ay önce yemekten kalmış
Hastanın yakınlarına sorulan sorularda, 5 ay önce yediği pizzanın üzerindeki mısır tanelerinin nefes borusuna kaçtığı öğrenildi. Bu süreçte herhangi bir belirti görülmemişti.
Yabancı cismin çıkarılması hayati önem taşıyor
Hava yoluna kaçan yabancı cisimler, nefes darlığı, morarma ve ölüme kadar ciddi sonuçlara yol açabilir. Heimlich manevrası veya bronkoskopi ile müdahale edilmesi gerekiyor.